The PLOUGH3D software generates the triangulation of a given discrete level set of an implicit surface.

An implicit surface is defined by an analytical equation F(x, y, z) = C where (x, y, z) belongs to a volume domain and C is a constant called “level” and the corresponding surface is a level set. A discrete representation of this surface is the data values of the underlying function, F(xi, yj, zk), at the vertices
(xi, yj, zk) of a 3D (Cartesian) grid, 1 ≤ i ≤ ni, 1 ≤ jnj and 1 ≤ k ≤ nk where (ni, nj, nk), and three integers defining the resolution of the grid, also implicitly representing the boundaries and so the (discrete) definition volume of the surface. Such a grid is often called a "voxel" grid which can be defined in two different ways:

1. A 3D grid of real (scalar) values.
2. A set of grayscale images.

The first concerns the values of a given analytical function and the second, images obtained via digitalized scans such as "CT scan" or "MRI scan".

In addition, the software also generates the corresponding level curves in each plane z = zk . Several features are also available for the shape quality optimization, the simplification and the smoothing (roughness removal) of the resulting triangulation.

In the case of a 3D grid, on option via the environment parameters, the software also produces a closed surface of a given thickness around the imposed level. This kind of triangulation is particularly useful for surface 3D printing.

A detailed description of the software is given in [1].

The following images show some capabilities of this software.

[1] PLOUGH3D, Technical description (pdf)





For any questions

Contact us
 
houman.borouchaki@utt.fr

 

Example 1 - SKELETON (.zip)

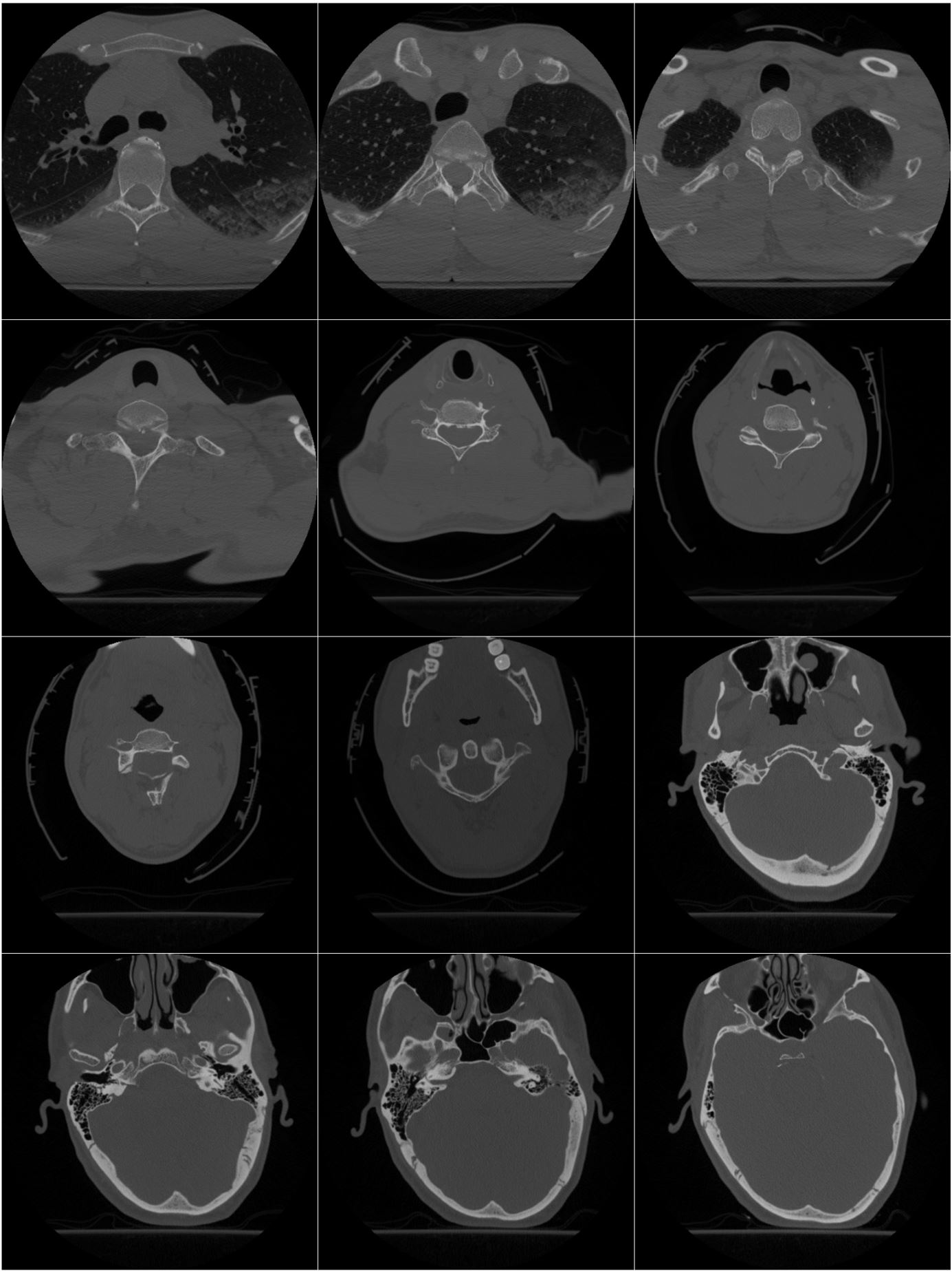
This example concerns MRI images. This is a complex model with 899 images of resolution (512,512).
For this model we are interested in the gray level = 100 and the 16 principal connected components.

Figure 1 shows the corresponding 3D model, containing 3,344,714 vertices and 6,705,955 triangles and 14,996 boundary edges, produced in 48.68 seconds and occupying 3,886 Giga-bytes in memory.
Figure 2 shows enlargements of the resulting triangulation.
Figure 3 shows some MRI images of this model.

Figure 1


 


Figure 2
Figure 3

Example 2 - 3D reconstructions of surfaces defined by an implicit equation F(xyz) = 0 (.zip)

The implicit equation considered is 
F( x,  y,  z) = sin⁡(x)sin⁡(y)sin⁡(z)+sin⁡(x)cos⁡(y)cos⁡(z)+
+cos⁡(x)sin⁡(y)cos⁡(z)+cos⁡(x)cos⁡(y)sin⁡(z)

For this surface, a 3D grid, of resolution (256, 256, 256), of values ​​of F is generated in [-,]3 with k an integer. For the generation of 3D models (triangulations), the optimization, simplification and smoothing environment settings are enabled.

Figure A
Figure B
Date of update 12 July 2021